Cấy ghép mắt điện tử giúp bệnh nhân mù có thể đọc trở lại
- Cập nhật: Thứ ba, 21/10/2025 | 8:56:25 AM
Một con chip siêu nhỏ đang mang đến hy vọng mới cho những người mất thị lực do bệnh thoái hóa điểm vàng - căn bệnh vốn không thể chữa khỏi.
![]() |
Bà Sheila Irvine là một trong những bệnh nhân đầu tiên tham gia thử nghiệm. Ảnh: Moorfields Eye Hospital
|
Nhờ đột phá về cấy ghép mắt điện tử tại Vương quốc Anh, những người trước đây bị mù do một căn bệnh phổ biến, liên quan đến tuổi tác và không thể chữa khỏi, nay đã có thể đọc lại được.

84% bệnh nhân có kết quả tích cực
Thiết bị mang tên Prima, chỉ có kích thước 2mm x 2mm và mỏng bằng một nửa sợi tóc người, được các chuyên gia mô tả là một "sự thay đổi mô hình” trong lĩnh vực thị giác nhân tạo.
Họ tin rằng công nghệ này có thể sớm được cung cấp thông qua Dịch vụ Y tế Quốc gia Anh (NHS).
Được cấy dưới võng mạc - lớp mô nhạy sáng trong mắt - con chip cho phép bệnh nhân nhìn thấy chữ cái, con số và thậm chí cả từ ngữ thông qua mắt từng bị mù. Nhờ "thị lực nhân tạo”, một số người thậm chí có thể giải ô chữ và đọc chữ nhỏ trên nhãn thuốc.
Theo chuyên gia võng mạc Mahi Muqit, thiết bị Prima đã "thay đổi cuộc sống” của nhiều bệnh nhân. Ông chia sẻ: "Tôi có rất nhiều bệnh nhân bị mù, và họ luôn hỏi liệu có thể phục hồi thị lực không Câu trả lời trước đây luôn là không. Nhưng giờ thì khác, chúng tôi có những bệnh nhân đang đọc sách và chất lượng cuộc sống của họ đã cải thiện đáng kể”.
Kết quả được công bố cho thấy 84% bệnh nhân tham gia thử nghiệm có thể đọc chữ cái, số và từ sau khi cấy ghép Prima. Trung bình, họ đọc được năm dòng trên biểu đồ thị lực, trong khi trước đó, một số người không thể nhìn thấy biểu đồ.
Phương thức hoạt động của thiết bị Prima
Thử nghiệm toàn cầu được tiến hành trên 38 bệnh nhân tại 17 cơ sở ở năm quốc gia, bao gồm Anh, Pháp, Ý và Hà Lan.
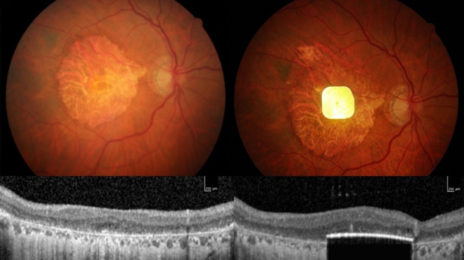
Tất cả những người tham gia đều mắc chứng teo địa lý (GA), một dạng nặng của thoái hóa điểm vàng khô do tuổi tác (AMD), căn bệnh ảnh hưởng đến khoảng 5 triệu người trên toàn cầu và có thể khiến người bệnh mất hoàn toàn thị lực trung tâm.
Các bác sĩ tiến hành phẫu thuật rồi đặt con chip siêu nhỏ 2 mm dưới võng mạc.
Khi nhìn, bệnh nhân đeo kính thực tế tăng cường có camera kết nối với máy tính nhỏ ở thắt lưng. Camera chiếu tia hồng ngoại đến chip, kích hoạt nó. Trí tuệ nhân tạo (AI) xử lý hình ảnh và biến chúng thành tín hiệu điện, truyền qua dây thần kinh thị giác đến não, nơi hình ảnh được tái tạo thành thị giác.
Các ca phẫu thuật được thực hiện tại Bệnh viện Mắt Moorfields ở London khoảng ba năm trước, và mỗi ca chỉ kéo dài chưa đầy hai giờ.
Các tin khác

Trước làn sóng chuyển đổi số đang định hình lại toàn bộ hệ sinh thái truyền thông, nhiều tòa soạn báo chí trên thế giới và tại Việt Nam đang tìm lời giải cho bài toán sống còn: Làm sao để thích nghi với công nghệ mà vẫn giữ được bản sắc? Một mô hình mới đang được nhắc đến: “Tòa soạn vận hành như một start-up”.

Trong bối cảnh chuyển đổi số diễn ra mạnh mẽ, không gian mạng đã trở thành nền tảng vận hành của kinh tế, xã hội và an ninh toàn cầu. Song song với cơ hội phát triển, thế giới đang phải đối mặt với những rủi ro ngày càng nghiêm trọng do tội phạm mạng gây ra – từ đánh cắp dữ liệu, lừa đảo, tống tiền đến tấn công hạ tầng trọng yếu. Cuộc chiến không tiếng súng này đang diễn ra trên quy mô toàn cầu, đòi hỏi hợp tác quốc tế và khuôn khổ pháp lý thống nhất nhằm bảo vệ chủ quyền, tài sản và niềm tin số.

Peter Vandermeersch, CEO từng biến tập đoàn truyền thông Mediahuis ở Ireland trở thành tổ chức có hơn 100.000 người đăng ký, đã chia sẻ những bài học "hồi sinh" một tòa soạn.

Các tổ chức tin tức tại Ý đang kêu gọi điều tra tính năng tóm tắt AI Overviews của Google vì nó đe dọa nghiêm trọng đến sự sống còn của báo chí.